環球深觀察丨溯源美國:早期病例到底有多早?
由于新冠病毒德爾塔變異株加速蔓延和疫苗接種推進受阻導致多地疫情反彈,美國衛生與公眾服務部日前宣布自當地時間20日起,將去年1月以來美國一直在實施的“公共衛生緊急狀態”再次延長90天。

△美國有線電視新聞網(CNN)報道截圖
然而,在嚴峻疫情再次凸顯美國政府抗疫不力的同時,美方卻仍一意孤行地糾集盟友對病毒溯源問題大肆進行政治化炒作,嚴重擾亂國際合作抗疫大局。
目前,已有幾十個國家致函世界衛生組織總干事呼吁堅持科學溯源;多國專家學者接連發聲強調新冠病毒“實驗室泄漏論”毫無科學證據;許多線索和研究也表明疫情早在2019年下半年就已在世界多地多點出現。

△根據世衛組織溯源報告得出的結論,新冠病毒“極不可能”通過實驗室傳人;需要進一步調查世界其他地方出現的早期陽性樣本。
事實上,作為全球頭號抗疫失敗國,確診病例和病亡人數全球居首的美國也是最大的“病毒起源嫌疑國”。越來越多的觀點認為,最該接受溯源調查的恰恰是美國自己。
“誰在隱瞞什么?為什么要隱瞞?”
如果能對美國進行溯源,不妨從美國政府至今閃爍其辭的早期病例查起。說到這個,一位美國官員的經歷再次引起了人們的注意。
去年4月底,美國媒體突然報道了一則“頭條新聞”:新澤西州貝爾維爾市市長邁克爾·梅爾哈姆確信自己在2019年11月就感染了新冠肺炎。果真如此的話,這要比美國2020年1月下旬“官宣”首例確診病例早了大約兩個月。

△“北澤西新聞網”報道截圖
據梅爾哈姆回憶,他2019年11月下旬到大西洋城參加市長聯盟會議后返回家中便渾身發冷、產生幻覺、體溫飆升。“我感覺就像一個戒毒的癮君子”,“我從沒想過自己會病得這么厲害”。
當時,梅爾哈姆被醫生診斷為感染了流感。直到新冠肺炎疫情在新澤西州暴發,他才滿懷疑惑地去做了血液抗體檢測,結果就連醫生也大為震驚:梅爾哈姆已有新冠病毒抗體,且抗體已存在較長時間。

△“北澤西新聞網”報道截圖
梅爾哈姆認為,自己和此前的許多重癥流感患者都可能是未被發現的新冠肺炎早期病例:
——“(2019年)11月和12月,醫院里已經人滿為患,有很多甲型流感、乙型流感和鏈球菌檢測都呈陰性的人卻出現嚴重癥狀,接連不斷地去看醫生!
——“我們被告知只是患了感冒或支氣管炎。我認為我們當時都不知這是什么病,所以醫生不知道該怎么稱呼它或怎么對付它!
——“根據我自己的證據、癥狀和病情發展,以及其他數百人也表示他們在那個時期病得非常非常厲害的事實,新冠病毒極有可能已經在11月出現!

△《紐約郵報》報道截圖
梅爾哈姆公開自己的遭遇后收到了很多有同樣經歷者的郵件。他在社交媒體上呼吁負責任的媒體對這些被忽略甚至被隱瞞的早期可疑病例進行追蹤報道!澳切┰缇蜋z測出抗體的人在哪里?誰在隱瞞什么?為什么要隱瞞?”

△梅爾哈姆社交媒體截圖
此事引發美國媒體廣泛關注,一些美國衛生專家也支持梅爾哈姆的判斷。
去年3月11日,當時的美國疾控中心(CDC)主任雷德菲爾德在國會眾議院一次聽證會上就承認,美國確實有原本被診斷為流感、實際上卻是因為感染新冠病毒而死亡的病例。

△美國有線電視新聞網(CNN)報道截圖
美國公共衛生協會執行董事喬治·本杰明去年3月底也表示:“我們最終會發現,新冠病毒的到來可能比我們想象的要早得多!

△喬治·本杰明
美國“零號病人”迷霧重重
值得注意的是,作為少有的敢于公開發聲的政府官員,梅爾哈姆是一名無黨派獨立人士;而帶黨派色彩的新澤西州有關政府部門至今對此事保持著緘默。
這也許就是造成美國早期病例一直成謎的主要原因。但即便政客們這么努力地轉移視線,還是不斷有關于美國早期病例的消息被媒體和研究機構捅出來。
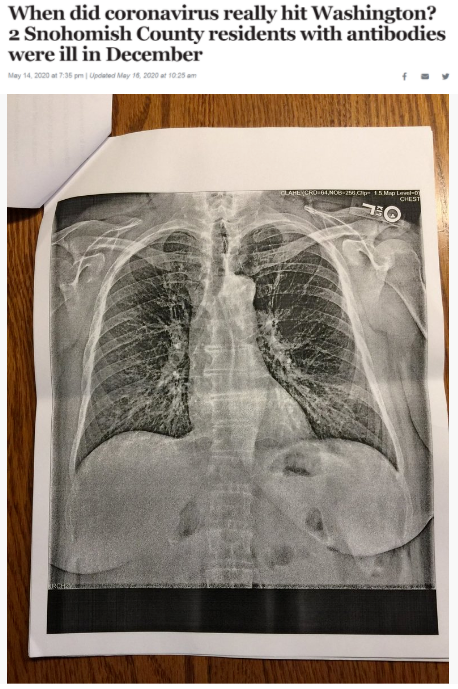
據《西雅圖時報》去年5月14日報道,華盛頓州斯諾霍米什縣的兩位居民在2019年12月出現類似新冠肺炎的癥狀,之后對他們的新冠病毒抗體檢測呈陽性反應。這一結果表明,新冠病毒可能比想象中更早在當地出現。

△《西雅圖時報》報道截圖(題圖中的X光片顯示其中一位斯諾霍米什縣居民的肺部“過度充氣”并出現“線性混濁”。醫生認為,這可能是疊加上呼吸道肺部感染的表現。)
《洛杉磯時報》去年6月21日報道稱,加利福尼亞州最早可追溯至2019年12月的40余起不明死亡病例或將改寫新冠肺炎疫情在美國的時間線。


△《洛杉磯時報》報道截圖(題圖為瑪麗貝斯·科爾特斯和丈夫杰里,他們想知道39歲的兒子杰里米·德拉普是否在2020年1月初患病4天后死于新冠肺炎。)
加州大學洛杉磯分校去年9月10日宣布,該校與華盛頓大學合作研究發現,從2019年12月下旬開始并持續到2020年2月的呼吸道癥狀和疾病患者數量明顯增加,表明新冠病毒在具有臨床意識和檢測能力之前就已經在美國的社區傳播。

△加州大學洛杉磯分校官網截圖
去年11月底,美國疾控中心(CDC)科學家發布的一份政府研究報告顯示,新冠病毒早在2019年12月中旬就已出現在美國,比美國公共衛生部門發現第一例美國本土確診病例要早一個月。

△《華爾街日報》報道截圖
就在上個月15日,美國國立衛生研究院(NIH)最新公布的研究結果支持了CDC的研究發現:新冠病毒早在2019年12月就已在美國傳播。
該院研究人員對2020年1月2日至3月18日期間從全美50個州采集的2.4萬多份血液樣本進行檢測后發現,有9份樣本中出現新冠病毒抗體。其中,來自伊利諾伊等5個州的7份樣本表明,這些州最初病例的出現均早于其公布首例確診病例的時間。

△NIH官網截圖
本次研究的主要作者、美國約翰斯·霍普金斯大學公共衛生學院副教授克麗·阿爾特霍夫強調,他們的發現“只是填補了新冠病毒在美國起源謎團的一小部分”。

△《福布斯》雜志網站截圖
總而言之,在病毒溯源問題上,美國暴露出的疑點可以說是迄今最多的,理應成為下階段全球溯源調查的重點對象。
其實早在一年多以前,世衛組織發言人克里斯蒂安·林德邁爾就敦促各國對2019年年底出現的可疑肺炎病例進行重新調查!叭绻2019年12月乃至11月出現不明肺炎病例的國家能夠對這些病例進行新冠病毒檢測,那就太好了”,因為“只有這樣,我們才有可能對新冠肺炎疫情的傳播有新的、更清晰的了解”。

△克里斯蒂安·林德邁爾
策劃丨王堅
撰稿丨劉允
編輯丨林維
簽審丨王堅
監制丨關娟娟


